Cabinet dentaire du Docteur Didier NORMAND
Chirurgiens-Dentistes à Douvaine, Haute Savoie, près de Genève
Accueil
Le cabinet
Plan d'accès
Urgences
Fiches Conseils
Vidéos
Cas cliniques
Implantologie
Parodontologie
Esthetique
Occlusodontologie
Cas cliniques
4 rue de l'oratoire, 74140 Douvaine
+33 4 50 94 28 36
Cabinet dentaire du Docteur Didier NORMAND
Chirurgiens-Dentistes à Douvaine, Haute Savoie, près de Genève
Accueil
Le cabinet
Plan d'accès
Urgences
Fiches Conseils
Vidéos
Cas cliniques
Implantologie
Parodontologie
Esthetique
Occlusodontologie
Cas cliniques
Les prothèses
Maxillaire : all-on-4
EN SAVOIR PLUS
Comblement de sinus par voie latérale et implantation simultanée
EN SAVOIR PLUS
Mandibule complète et traitement implantaire pour un bridge fixe vissé
EN SAVOIR PLUS
Comblement de sinus par voie latérale (sinus lift) avec implantation différée
EN SAVOIR PLUS
Maxillaire : bridge vissé sans fausse gencive
EN SAVOIR PLUS
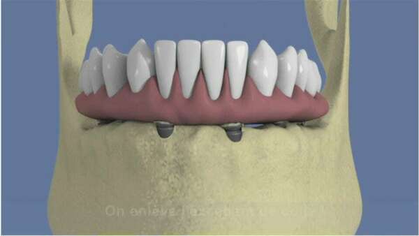
Fixation d’une prothèse par une barre sur 4 implants
EN SAVOIR PLUS
Affichage des articles 1-6 sur 19
‹
1
2
3
4
›
Catégories
À la une fiches
(5)
Cas cliniques
(5)
Implantologie
(1)
Informations pratiques
(2)
L'équipement du cabinet dentaire
(3)
L'orthodontie
(4)
Les choix esthétiques
(6)
Les dents chez l'adulte
(1)
Les dents de l’enfance à l’adolescence
(1)
Les dents et la santé
(3)
Les gencives
(13)
Les implants
(19)
Les pathologies bucco-dentaires
(24)
Les prothèses
(19)
Omnipratique
(102)
Cabinet dentaire du Docteur Didier NORMAND
4 rue de l'oratoire
74140
Douvaine
+33 4 50 94 28 36
Politique de confidentialité et charte cookie
Mentions légales
Conditions Générales Utilisation
Charte déontologique
Ordre national
Annuaires chirurgiens dentistes
Création par
Connexion